Dental Implants- Upper East Side

Are you looking for implant crowns or dental implants?


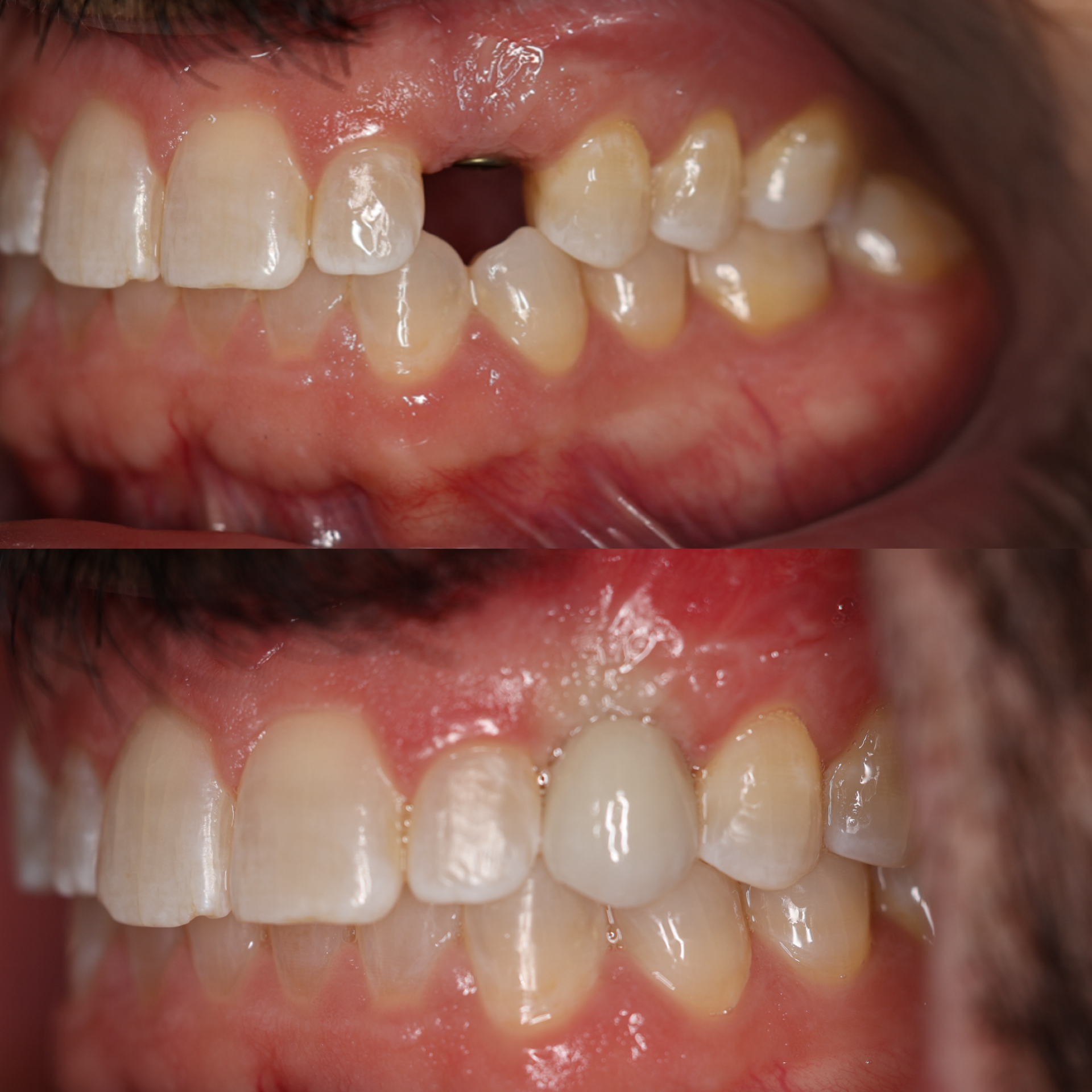
Dental implants provide a foundation for replacement teeth that look, feel, and function like natural teeth. Dental implants remove the need to deal with uncomfortable dentures or bridges– with permanent dental implants, a person who has lost teeth regains the ability to eat, talk, and smile with effortless confidence. Dental implants can support replacements for one tooth, several teeth, or even all the teeth. They allow outstanding results in both appearance and function of the new teeth. The dental implants themselves are titanium cylinders, which are surgically implanted into the jawbone where teeth are missing. The bone bonds with the titanium, creating a strong foundation for artificial teeth. Small posts are then attached to the dental implant. Protruding through the gums, these posts provide stable anchors for artificial replacement teeth.

BENEFITS OF DENTAL IMPLANTS 

Dental implants also help preserve facial structure, preventing the bone deterioration that occurs when teeth are missing. Dental implants can even improve your health, both psychologically and physically. They improve your self-esteem as they restore your smile and make you feel more confident in your appearance. Overall, you feel better about yourself and don’t feel as self-conscious about unsightly gaps and missing teeth. Also, with dental implants, you no longer have to deal with the embarrassment of removing dentures. Dental Implants improve your oral health since they don’t require reducing other teeth. Since nearby teeth aren’t reduced to support the dental implant, more of your own teeth are left alone and in good health. Individual dental implants make it easier to access all your teeth, therefore improving oral hygiene.

Clearly, dental implants provide many benefits. However, you may be curious about the success rate. Are dental implants durable, or will you have to come back in a few years to get new ones? Good news. Dental implants are known for their durability and will last many years. Generally, dental implants have an almost perfect success rate of 98%. The success rate often depends on the person. If a person takes good care of their implants, they will typically last a lifetime. Dental implants are very easy to take care of, as they require the same care as natural teeth. You simply have to follow your typical routine of brushing and flossing, as well as going to our NYC dentists in Upper East Side for regular dental cleanings.


Dental Implants Upper East Side

WHAT TO EXPECT FROM DENTAL IMPLANTS?

Finally, you may be curious about what it’s like to get dental implants, and if you even qualify for them. Can anyone get them? In most cases, any patient with healthy gums and enough bone to support the implant can receive dental implants. The only individuals who may not qualify for them are heavy smokers, those suffering from uncontrolled chronic disorders such as heart disease, and those who have had radiation therapy to the head and neck area, primarily due to safety reasons.

If you do qualify for dental implants, you may wonder, is the dental implant procedure painful? What is the dental implant recovery like? While many patients are concerned about the pain of the procedure, they often find there to be very little discomfort. Local anesthesia can be used, and most patients claim that receiving dental implants is less painful than a tooth extraction. Pain after the procedure should be very minimal, so the recovery period will be short. If anything, patients will experience mild soreness, which is easily treatable by over-the-counter pain medications such as Tylenol.

Our NYC dental implant dentists in Upper East Side will ensure that you have the best possible experience with the highest level of comfort, and that you receive what you want—that perfect smile. No more gaps, and no more missing teeth. Even better, your new smile will look completely natural.

Looking to replace missing teeth with dental implants? Had a dental implant and need a crown?  Call our office today on 212-628-3300 for an appointment.

 

REQUEST APPOINTMENT