Our porcelain veneers are custom made in a lab and are composed of thin porcelain shells applied to cover teeth. The whole process takes just two- three office visits. The first usually consists of taking impressions, while the second is used to prepare the teeth and apply the veneers. At New York Family Dental Arts we work with a master ceramist to create custom veneers that fit each individual patient’s needs. The first of two appointments is necessary to apply veneers and begins with one of our Dr. Vaiman or Dr. Kessler taking impressions of your natural teeth. Once the custom veneers are created, there is a second appointment, during which the natural teeth are slightly shaved, in order to compensate for the additional thickness that the veneers will add. This will ensure that your teeth are the same size they were before the procedure began. Prior to application, we hold the veneers to the teeth to make sure that they are the correct size, shape, and color.

The application itself is simple, an etching solution and special light bind the veneers into place, often lasting 10-15 years. If you are hesitant about the process, or just want to know what the finished product may look like, ask us about “trying on” your veneers first using temporary cement! This is a great way to see how you new teeth and new smile may look. Now we answer some commonly asked questions about porcelain veneers for patients that are extremely interested in the procedure. Once reading this thorough explanation feel free to make an appointment online with Dr. Irina Kessler and she will walk you through the process step by step, when you come to the appointment.
YOUR QUESTIONS ANSWERED ABOUT PORCELAIN VENEERS BY DR. IRINA KESSLER
What exactly are porcelain veneers composed of?
Porcelain veneers are thin, custom-made shells made from tooth-colored materials (such as porcelain) designed to cover the front side of your teeth. In order to prepare for placing veneers, Dr. Kessler will create a unique model of your teeth. This model is then sent to the dental technician where your veneers will be created. Then before placing your new veneers or veneer, Dr. Kessler may need to conservatively prepare your tooth in order to achieve the desired aesthetic result.
Veneers look like real teeth and have a lifelike appearance. Additionally, they are durable,will wear like natural tooth enamel, and will not discolor like dental bonding.
Are there any foods or drinks to be avoided with porcelain veneers?
When placed, you’ll be pleased to see that veneers look like your natural teeth. While veneers are stain resistant, your doctor may recommend that you avoid coffee, tea, red wine, and tobacco so as to maintain the natural beauty of your new smile.
Do veneers cover up or mask imperfections and are they noticeable or do they look unsightly?
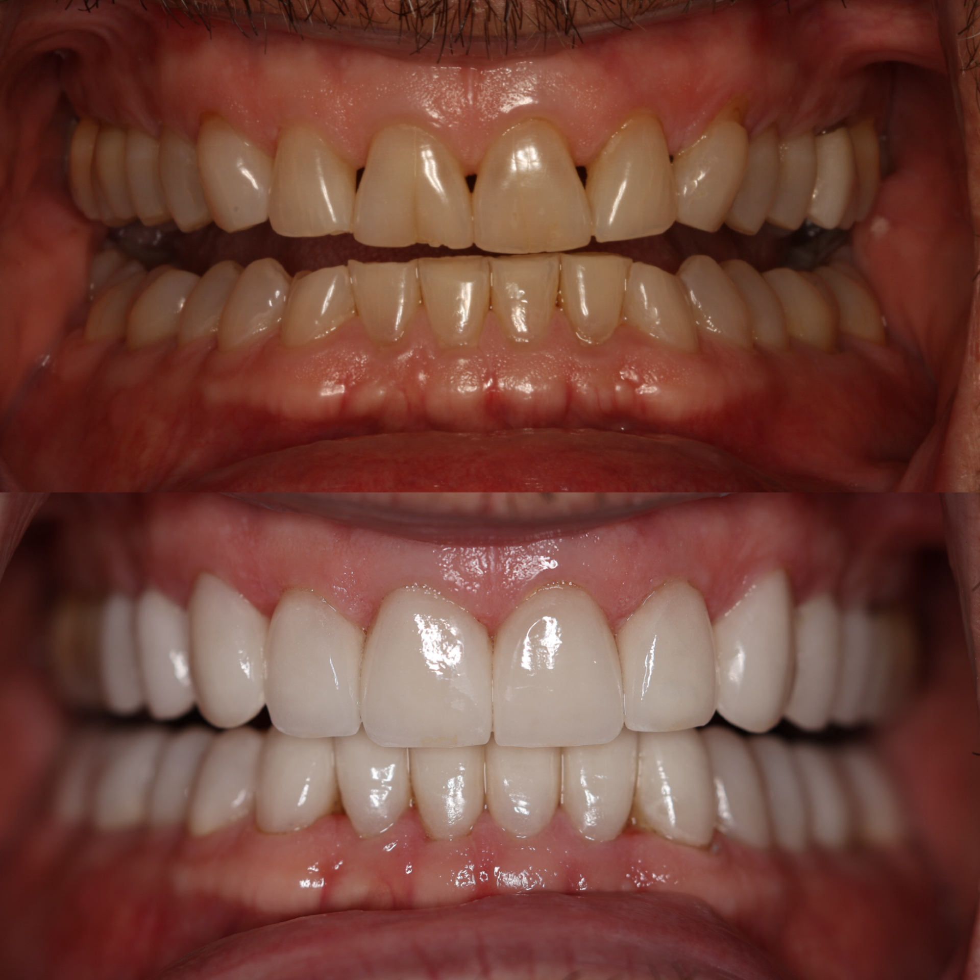
With porcelain dental veneers you no longer need to hide your smile because of any gaps, chips, stains on your teeth or misshapen teeth. Porcelain veneers can easily correct any imperfections in your teeth or in the way that your smile appears. This will allow you to feel amore confident and have a beautiful natural smile. The fact that veneers are natural in appearance, allows them to be the perfect alternative for patients that are wanting to make minor adjustments to the way they look and feel about their smile. I have damaged teeth and have some mild staining.

Will porcelain veneers be successful in covering these?
Yes you will be able to cover stains and your damaged teeth. There is absolutely no reason to put up with gaps in your teeth or with teeth that are stained, badly shaped or crooked. Today a porcelain veneer placed on top of your teeth can correct nature’s mistake or the results of an injury and help you have a beautiful smile.
What are porcelain veneers made of and how does the bonding process work?
Porcelain veneers are ultra-thin shells of ceramic material, which are bonded to the front of a individuals teeth. This procedure requires little or no anesthesia, and can be the ideal choice for improving the appearance of the front teeth. The veneers are placed to mask discolorations, to brighten teeth, and to improve a smile. Highly resistant to permanent staining from coffee, tea, or even cigarette smoking, the wafer-thin porcelain veneers can achieve a proper long lasting bond to the tooth, resulting in an esthetically pleasing natural smile that is unsurpassed by other restorative options.
Why should I get porcelain veneers from New York Family Dental Arts?
Dr. Irina Kessler has extensive experience in creating perfect naturally looking smiles using porcelain veneers. These porcelain veneers are an excellent alternative to using porcelain veneers in many situations. The use of veneers allows for a much more conservative approach to changing a tooth’s color, size, or shape. Many flaws can be corrected with veneers. Some common corrections include: Spaces between your teeth broken or chipped teeth unsightly, stained or washed-out fillings. Permanently stained or discolored teeth misshapen or crooked teeth dark, yellow or stained teeth.
What are the normal instances where a patient requests porcelain veneers to improve their smile?
We see many different types of requests. Sometimes it is when a patient has been smoking and has stains – this person may be in their 40’s or 50’s or could be younger. Other times people have decided it’s time to take care of a few things as they may be looking for a new job and they feel that their smile has been holding them back. They feel that they want to rejuvenate their smile and there are issues that they no longer want to feel bad about. Sometimes it is staining due to medication when they were young and their teeth were stained by tetracycline. Other times patients have damaged their teeth due to an injury, or as a result of a root-canal procedure. Veneers are ideal for masking discolored fillings in front teeth. Some times we see patients with gaps between their front teeth or teeth that are chipped or worn – this type of individual is an ideal case for porcelain veneers.
WHAT TO EXPECT FROM PORCELAIN DENTAL VENEERS
How long will porcelain veneers last for?
Porcelain veneers despite being thin, can last for up to 20 years and still look completely natural. Generally, veneers will last for many years, and the technique has shown remarkable longevity. However it is important to take care of your porcelain veneers. They are like you calling card and you must follow a proper routine for taking care of them. What is the difference between porcelain veneers and resin veneers? Porcelain veneers are thin, tooth coloured porcelain shells carefully crafted to bond to and cover the front of unsightly looking teeth. Porcelain is a hard, wear-resistant, non-porous material that keeps its appearance longer than tooth coloured resins. Veneers are excellent for treating chipped, discoloured, slightly malaligned or mis-shapen teeth and ideal for closing gaps between the teeth. They can be used to improve the shape, length, size and colour of teeth. A minimal amount of tooth structure is removed and usually two office visits are necessary. The first visit is to prepare and take impressions, which are then sent to a technician to make the veneers, followed by a second visit to bond the veneers to the teeth. Porcelain veneers are less likely to chip or stain than resin veneers, and if properly maintained can last for many years. Resin veneers are also known as composite veneers. These composite veneers use a special tooth-colored resin that will improve the appearance of teeth. Unlike porcelain veneers, the dentist applies the resin directly to tyour tooth and then sculpts and shapes it to achieve the desired aesthetic. Often the patient chooses composite veneers for several reasons, but it is usually to do with price. We do use resin for individual teeth if we are bonding broken teeth, however if we are to create a naturally looking smile using veneers then we always reccomend porcelain veneers.
What are porcelain veneers composed of exactly?
Porcelain veneers are thin, tooth coloured porcelain shells carefully crafted to bond to and cover the front of unsightly looking teeth. The veneers are extremely thin (less than 0.5 mm in thickness), which gives them an enamel-like translucence effect creating a natural appearance just like real teeth. The porcelain is a hard, wear-resistant, non-porous material that keeps its appearance longer than tooth coloured resins. These veneers are thin, tooth coloured porcelain shells carefully crafted to bond to and cover the front of unsightly looking teeth. They are excelletnt for treating chipped, discoloured, slightly malaligned or badly shapen teeth and they are ideal for closing gaps between the teeth. They can be used to improve the shape, length, size and colour of teeth.
Will I need to remove tooth structure?
A minimal amount of tooth structure is removed and usually two office visits are necessary. The first visit is to prepare and take impressions, which are then sent to a technician to make the veneers, followed by a second visit to bond the veneers to the teeth. The veneers are less likely to chip or stain than resin veneers, and if properly maintained can last for many years.
What is the next step if I wish to consult Dr. Kessler regarding porcelain veneers?